The Cancer Survivors Network (CSN) is a peer support community for cancer patients, survivors, caregivers, families, and friends! CSN is a safe place to connect with others who share your interests and experiences.
Entrectinib now for about 1 month...
Comments
-
@cmpattberg Did you do radiation to the tumor bed?
-
-
-
-
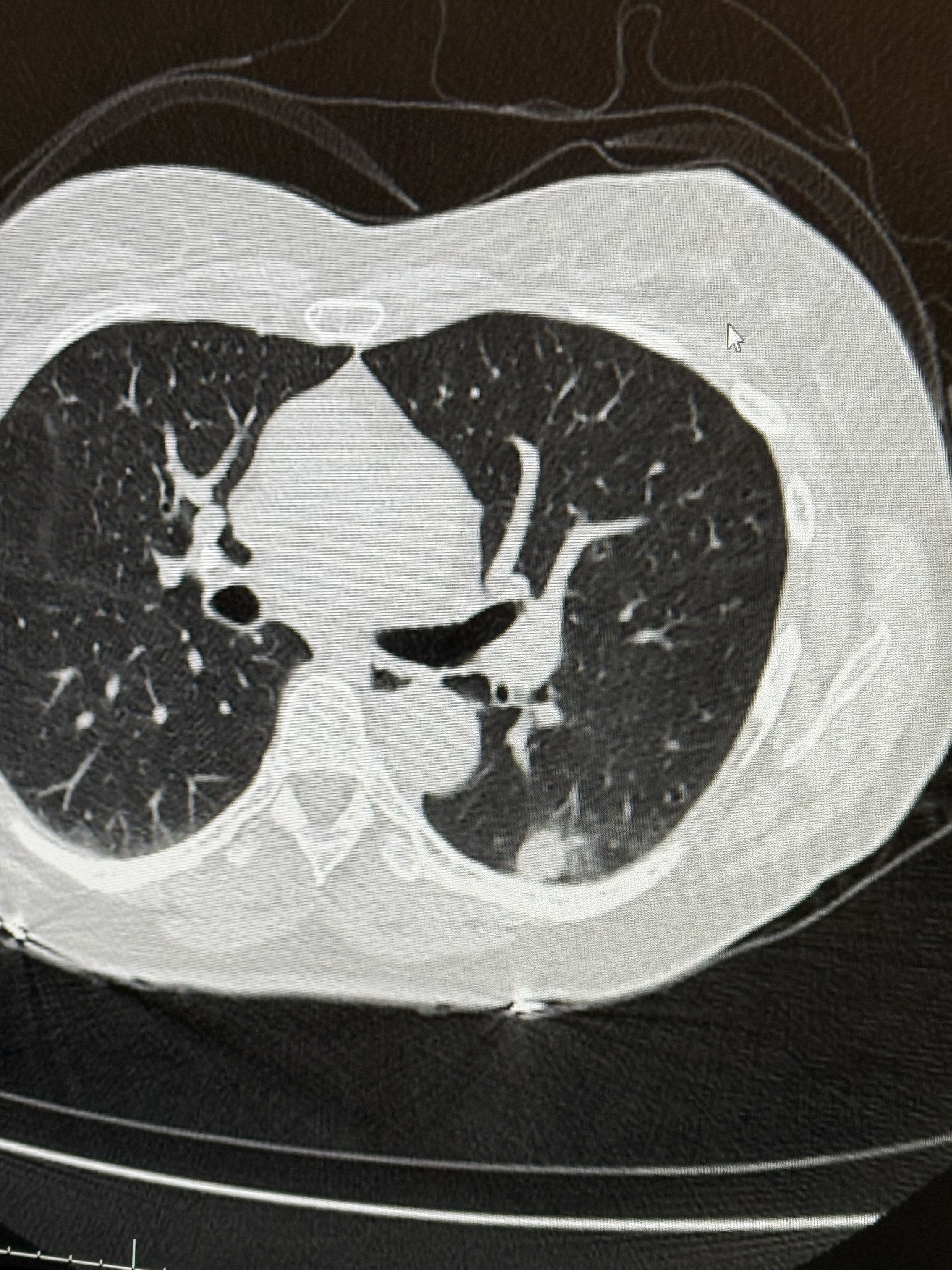
a 12 mm spot was found in my lower left lobe that wasn’t there back in November. CT scan, PET scan, now I have to go back three months which will be April 15 with a new CT scan on March 30.
everyone is telling me “oh you’ll be fine , this is very common and very low chance it’s cancer” I know they’re just trying to make me feel better but I need to know the truth. Should I be worried?
-
can’t give you a 100 percent guarantee, but it’s important to remember that the vast majority of lung nodules turn out to be benign. Well over 90 percent of incidental lung findings are things like scars from prior infections, inflammation, or other noncancer causes.
Did you have a PET-CT in November? Have you actually been diagnosed with cancer already?
-
-
-
-
Not a doctor, but the images you shared look consistent with what you described, a small nodule in the lower left lobe, toward the back, with mild uptake.
What you’re feeling right now is very common. There’s even a name for it, “scanxiety”, the stress and worry that can come in the days or weeks waiting for follow-up scans or results. Many people struggle with that part more than the tests themselves. Some find counseling helpful, and cancer centers usually have people who specialize in this if you ever want support.
You could consider a second opinion. Not because it’s required, but because having another set of experienced eyes can help reduce uncertainty and give peace of mind. A thoracic oncologist or pulmonologist at a major cancer center or teaching hospital is often a good place to start, and your PCP can help with referrals if needed.
I also wrote something about how to think through choosing a cancer center. While it’s focused on treatment decisions, the same ideas apply when seeking another opinion.
https://forums.lungevity.org/topic/53851-choosing-a-cancer-center/
-
-
Thank You ALL for responding to my "scary new life for the moment" cry. Noone that hasn't experienced this anxiety understands. Even I don't know the WHOLE just of it like all of you. But I do know that having people that have/are going through similar to me supporting me and each other is priceless. As time moves on, I can tell my husband is starting to treat me the way he used to (I sure felt special and loved for a little while).
I will touch base again after March 30 (another CT scan)
Stay strong and know I am praying for ALL of you as well as myself🧡
Discussion Boards
- All Discussion Boards
- 7 Cancer Survivors Network Information
- 6 Welcome to CSN
- 1 CSN Update
- 122.7K Cancer specific
- 2.8K Anal Cancer
- 457 Bladder Cancer
- 311 Bone Cancers
- 1.7K Brain Cancer
- 28.6K Breast Cancer
- 410 Childhood Cancers
- 28K Colorectal Cancer
- 4.6K Esophageal Cancer
- 1.2K Gynecological Cancers (other than ovarian and uterine)
- 13.1K Head and Neck Cancer
- 6.4K Kidney Cancer
- 682 Leukemia
- 805 Liver Cancer
- 4.2K Lung Cancer
- 5.1K Lymphoma (Hodgkin and Non-Hodgkin)
- 243 Multiple Myeloma
- 7.2K Ovarian Cancer
- 71 Pancreatic Cancer
- 494 Peritoneal Cancer
- 5.7K Prostate Cancer
- 1.2K Rare and Other Cancers
- 545 Sarcoma
- 745 Skin Cancer
- 663 Stomach Cancer
- 194 Testicular Cancer
- 1.5K Thyroid Cancer
- 5.9K Uterine/Endometrial Cancer
- 6.5K Lifestyle Discussion Boards



