The Cancer Survivors Network (CSN) is a peer support community for cancer patients, survivors, caregivers, families, and friends! CSN is a safe place to connect with others who share your interests and experiences.
Open Partial Nephrectomy Complications
I had a open partial nephrectomy back in May of 2023. Very invasive. Had a rib removed and my kidney had to be reconstructed. I had a rough recuperation but slowly made progress. After 12 weeks I was back to work part time and after 5 months back full time. The problem I am having is that shortly after the 6th month mark I became swollen on the side of my surgery and my entire side because painful. My surgeon has no idea what could be going on. Says my blood work all looks good. I don't know what to do. I am constantly swollen and in constant pain . I get exhausted easily and don't have much strength. I thought that maybe I was having a reaction to foreign materials used during the procedure . Possibly the mesh holding the kidney together or maybe the multiple plugs used to control bleeding?? Again, the surgeon says no. I have an upcoming appointment with a new urologist and a nephrologist. Hoping to get some answers. Just wondering if anyone out there who has dealt with Renal cell carcinoma and had an open partial nephrectomy may have gone through something similar in terms of post-surgical complications.
Comments
-
Yes I can sympathize with you. Been to two different drs. No answers. They say no hernia, loose weight, and live with it. There has got to be something we can do. He says it because they cut through 3 muscles. If had other surgeries cutting through muscle and nothing like this. I'm going to try similar to a tens unit to see if that will help. My keeps getting bigger.
-
Update....I found a WONDERFUL surgeon out of Northwestern hospital in Chicago who agreed to "repair" my abdomen.
I had surgery July 14, so im about 6 months post surgery, and even though im still recovering, I've noticed some major changes already!
I realize that Chicago may not be a possibility for everyone, but the cost and travel was worth it! I stayed in the hospital for a week, and spent two weeks at a hotel right across the street with family and friends.
-
-
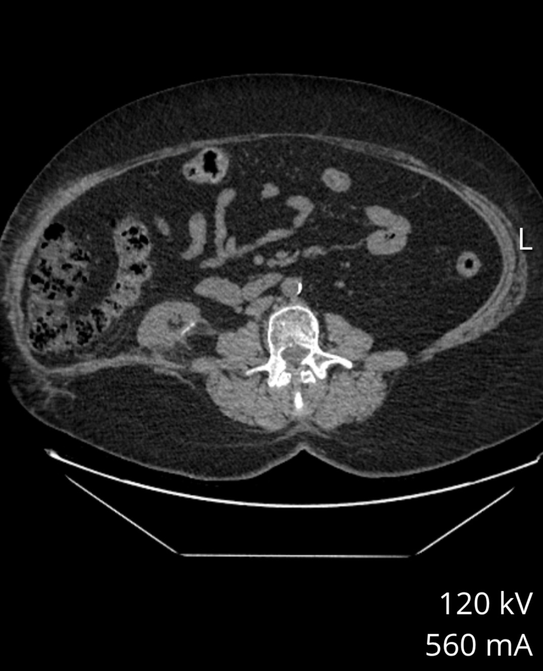
When I asked a specialist in hernias he said it would make it worse. And that mesh wouldn't fix it. I have read of them attaching mesh to rib and hip but then creates mobility issues. I don't see why I can't rebuild the muscles they cut. We're did they attach your mesh? Had your intestines move out of place? Did you ct ever look like this?
-
Yes, my organs were all out of place. Kidney, liver, colon, etc.
I was turned down by at least a dozen surgeons, saying that there was nothing that they could do for me.
Dr. Rosen did what others couldn't. When I met with him at Northwestern hospital, he was confident, knowledgeable and did not hesitate to offer a solution.
If you look him up online, there are videos from when he worked at the Cleveland clinic. Listening to him talk about the complications after abdominal surgery, and how he has made it his mission to offer help to those who are "untreatable" is what sent me to Chicago to meet him.
I can't promise that he can help you...... But what I can say is that he gave me back quality of life when others said it couldn't be done.
Good luck on your journey! And please feel free to reach out with any other questions.
-
Hi all, I have the same problem after my RCC removal through radical open nephrectomy, left kidney. My side is bulging badly and I have been wearing a hernia support band since July 2023 when my surgert was done. My muscles have also not grown back and I can literally still put my fingers in the 32cm long cut. Urologist says it will stay like that and Physician wants to put a mesh but Urologist is advising against it as my body might reject the foreign object. His advise is also to loose weight, wear the band and live with it. I have also bought one of those tight shape vests to just try and keep things in tact as it's quite embarrassing when I have to attend formal events. Don't get me wrong, I am greatful to my Dr catching the problem early and acting quickly but I was just hoping to find some alternative advise on here. I do still experience intermittent pain as well especially if I drink too much water or if my stomach is bloated.
I am based in Pretoria, South Africa.
Regards
Racharld
-
How are you doing now any better. I’m mew here, my husband had a complete neph laproscopic no problems. Lived 13 years w a couple metastasis surgery’s successful. He passed July 2025. I ‘m hoping things improved for you.I didn’t even know urologist did surgery for cancer. We went to Moffitt Cancer Center Tampa.
-
Hi there, thank you. Yes he is a specialist urologist, also deals with prostate cancer patients. I have the intermittent pain whenever my tummy is full and the 2 pieces just doesn't seem to be growing back. I can still the seperation with my fingers. Cancer is cleared though so I am in remission. But the Dr says that he has seen it re-appear in patients 10 to 15 years after initial surgery. I will follow his advise and get fit and loose weight and see. Thanks a lot for asking and I am so sorry for your loss. Regards
Discussion Boards
- All Discussion Boards
- 7 Cancer Survivors Network Information
- 6 Welcome to CSN
- 1 CSN Update
- 122.7K Cancer specific
- 2.8K Anal Cancer
- 457 Bladder Cancer
- 311 Bone Cancers
- 1.7K Brain Cancer
- 28.6K Breast Cancer
- 410 Childhood Cancers
- 28K Colorectal Cancer
- 4.6K Esophageal Cancer
- 1.2K Gynecological Cancers (other than ovarian and uterine)
- 13.1K Head and Neck Cancer
- 6.4K Kidney Cancer
- 682 Leukemia
- 805 Liver Cancer
- 4.2K Lung Cancer
- 5.1K Lymphoma (Hodgkin and Non-Hodgkin)
- 243 Multiple Myeloma
- 7.2K Ovarian Cancer
- 71 Pancreatic Cancer
- 494 Peritoneal Cancer
- 5.7K Prostate Cancer
- 1.2K Rare and Other Cancers
- 545 Sarcoma
- 745 Skin Cancer
- 663 Stomach Cancer
- 194 Testicular Cancer
- 1.5K Thyroid Cancer
- 5.9K Uterine/Endometrial Cancer
- 6.5K Lifestyle Discussion Boards






