The Cancer Survivors Network (CSN) is a peer support community for cancer patients, survivors, caregivers, families, and friends! CSN is a safe place to connect with others who share your interests and experiences.
Biopsy Results
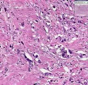
Comment: "A few cells with mucin droplets displacing the nucleus are present. I favor histiocytes, however an element of signet ring carcinoma will b ruled out with pancytokeratin stain, to be reported in addendum. Key portions of this case have been reviewed by... who concurs."
Addendum:
Pancytokeratin highlights signet ring cells, confirming their epithelial nature. This suggests there is an element of signet ring morphology in the tumor.
(Everyone concurred with the addendum too)
I have no clue what any of this means. I will go check out these words and see what I can see.
The doc we saw today said it is inoperable. Said it was about the size of my little finger. Indicated she will probably need radiation, but not chemo. She was given Vicodin. CT scan is tomorrow, results will be given to us on Monday - all appts are booked.
Anyone who can shed light on these words and their meanings will be appreciated. We both did well as far as emotions, but we hugged and cried at the house when it was time for me to go.
What I want to know is how long we can expect to have her. She things 2 years. I'm not as optimistic. I know all people are different.
Comments
-
Hello, Sorry I'm not new to
Hello, Sorry I'm not new to this website but have been reading it for 2 years now. Anyway, I can shed some light on this, moderately differentiated means that the adenocarcinoma cells look a lot less like the normal esophageal epithelium. There are stages of differentiation well-differentiated, moderately differentiated, poorly differentiated, undifferentiated. Those are in order from best to worst. Invasive simply means that the tumor is penetrated the walls of the esophagus, which is because it is an adenocarcinoma and not a benign tumor. In regards to the mucin it means that the cells will spread a bit faster than those without mucin and signet ring cells are a type of adenocarcinoma usually found in the stomach that have so much mucin in them, it pushes the nucleus to the side to make the cell represent a signet ring. I have found a person on youtube and his name and video with histopathological analysis will be provided below :
http://www.youtube.com/watch?v=XdHivMLRNCM
Also, when your doctor said she was inoperable, after you get the results please post the TNM, and stage as I can try and help further explain what I know.
I found his explanations very helpful, but please keep me updated on how your mother is feeling. I hope everything goes well for her and I wish you the best. -
Thank you! I appreciate thedogbackwards said:Hello, Sorry I'm not new to
Hello, Sorry I'm not new to this website but have been reading it for 2 years now. Anyway, I can shed some light on this, moderately differentiated means that the adenocarcinoma cells look a lot less like the normal esophageal epithelium. There are stages of differentiation well-differentiated, moderately differentiated, poorly differentiated, undifferentiated. Those are in order from best to worst. Invasive simply means that the tumor is penetrated the walls of the esophagus, which is because it is an adenocarcinoma and not a benign tumor. In regards to the mucin it means that the cells will spread a bit faster than those without mucin and signet ring cells are a type of adenocarcinoma usually found in the stomach that have so much mucin in them, it pushes the nucleus to the side to make the cell represent a signet ring. I have found a person on youtube and his name and video with histopathological analysis will be provided below :
http://www.youtube.com/watch?v=XdHivMLRNCM
Also, when your doctor said she was inoperable, after you get the results please post the TNM, and stage as I can try and help further explain what I know.
I found his explanations very helpful, but please keep me updated on how your mother is feeling. I hope everything goes well for her and I wish you the best.
Thank you! I appreciate the information and the You Tube was very informative. Thank you!
I will continue to post info as I get it from the doctors.
Ginny -
Sure, no problem at all,Ginny_B said:Thank you! I appreciate the
Thank you! I appreciate the information and the You Tube was very informative. Thank you!
I will continue to post info as I get it from the doctors.
Ginny
Sure, no problem at all, I'll try my best to answer anyquestions you may have and one more thing, why did the doctor automatically say the tumor was inoperable even though he doesn;t know how far it spread because you guys didn't even get a ct yet from what I understand. Anyway hope all goes well. -
He said because of itsdogbackwards said:Sure, no problem at all,
Sure, no problem at all, I'll try my best to answer anyquestions you may have and one more thing, why did the doctor automatically say the tumor was inoperable even though he doesn;t know how far it spread because you guys didn't even get a ct yet from what I understand. Anyway hope all goes well.
He said because of its location and size. I am hoping the CT scan will give us more info. Doc could be wrong.
Discussion Boards
- All Discussion Boards
- 7 Cancer Survivors Network Information
- 6 Welcome to CSN
- 1 CSN Update
- 122.7K Cancer specific
- 2.8K Anal Cancer
- 457 Bladder Cancer
- 311 Bone Cancers
- 1.7K Brain Cancer
- 28.6K Breast Cancer
- 410 Childhood Cancers
- 28K Colorectal Cancer
- 4.6K Esophageal Cancer
- 1.2K Gynecological Cancers (other than ovarian and uterine)
- 13.1K Head and Neck Cancer
- 6.4K Kidney Cancer
- 682 Leukemia
- 805 Liver Cancer
- 4.2K Lung Cancer
- 5.1K Lymphoma (Hodgkin and Non-Hodgkin)
- 243 Multiple Myeloma
- 7.2K Ovarian Cancer
- 71 Pancreatic Cancer
- 493 Peritoneal Cancer
- 5.7K Prostate Cancer
- 1.2K Rare and Other Cancers
- 545 Sarcoma
- 745 Skin Cancer
- 663 Stomach Cancer
- 194 Testicular Cancer
- 1.5K Thyroid Cancer
- 5.9K Uterine/Endometrial Cancer
- 6.5K Lifestyle Discussion Boards
